ホワイトニング

頻繁に通院することが難しい方には、ホームホワイトニングシステムという方法もあります。以下、ホームホワイトニングについてご紹介します。

こちらは、ご自宅でご自身専用のトレーを使って寝ている間に漂白をする方法になります。

これは、毎日就寝時に漂白の薬をトレーにぬって、歯に装着します。これを3週間ほど続けますと、歯を削らずに白く輝く歯になっていきます。

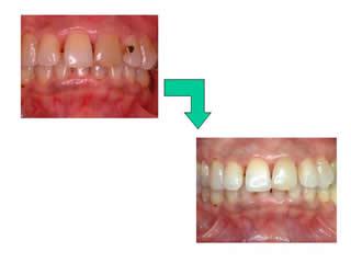
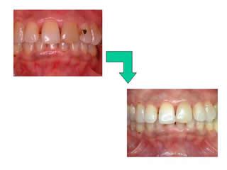
この写真の方は東京でのクラス会でみんなで歯の見せ合いを行い、他の方々からきれいだとほめられたそうで、歯の漂白をやってとてもよかったとおっしゃってます。やはり歯は白くてきれいなほうがいいとのことです。

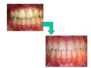
こちらは小樽熊澤歯科クリニックのスタッフの事例になります。歯科医院に勤務して初めて漂白の存在を知り、実際に行った患者さんの経過や効果をみて、ぜひやってみたいということでした。もう無理だとあきらめている方いらっしゃいませんか?