ホーム
  • ホーム
  • 診療案内
    • 診療の流れ
    • 虫歯予防
    • 歯周病治療
    • インプラント
    • 小児歯科治療
    • 矯正治療
    • 審美歯科
    • ホワイトニング
  • アクセス
  • スタッフ
  • 設備案内
  • お知らせ
  • よくある質問と答え
  • これから来院される方へ
  • 通院中の患者さんへ
  • 治療を終えられた方へ
  • 歯学・歯科学生の方へ
  • 採用情報
  1. ホーム
  2. 設備案内
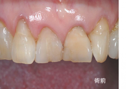
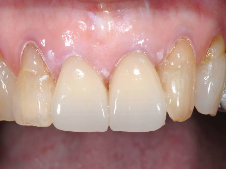
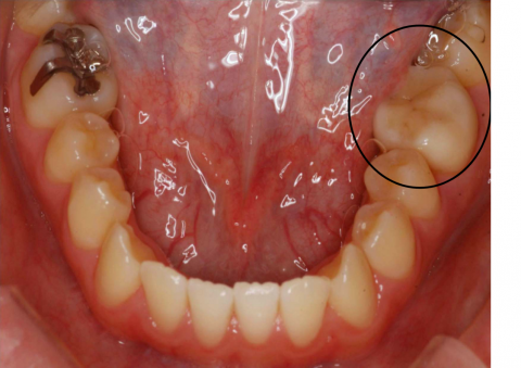
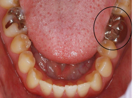
  3. CAD/CAM装置(CEREC)の利用

CAD/CAM装置(CEREC)の利用

注目情報

PMTCのご案内 (2025-08-12)

歯、ツルッツルにしませんか?

Mother's Day ~歯医者さんの託児サービス~ (2025-03-28)

歯医者さんの託児サービス ”Mother's Day” を実施しています。

光学印象:審美性、耐久性、アレルギーフリー (2019-04-08)

セラミックには、審美性、耐久性、アレルギーフリーという特徴があります。

主要設備一覧

外科ユニット

外科ユニット

より安全な手術を目指し、外科コーナーでは手術専用ユニットを使っています。

歯科用顕微鏡

近年導入が進んできた歯科用顕微鏡をいち早く取り入れております。

CAD / CAM (Cerec 3D)

CAD / CAMシステムにより様々なマテリアルのミリング(削りだし)を正確に行うことができます。

歯科用3次元CT

口腔内を正しく把握するため、モリタ製歯科用3次元CTを導入しております。撮影時間はわずか5分程度です。
 ページ上部へ戻る
  • ホーム
  • 診療案内
  • アクセス
  • スタッフ
  • 設備案内
  • お知らせ
  • よくある質問
熊澤歯科ロゴ
0120-296-418
簡単!ネット予約 24時間受付中
〒047-0032 小樽市稲穂2丁目11-13 協和ビル7F
電話/0134-32-1222, FAX/0134-32-1274, Email/info@kumazawa-dental.org
© 2025 Kumazawa Dental Clinic.